Nocardia Infections: A Comprehensive Review

F.Radio 13 views
Nocardia Infections: A Comprehensive Review

Nocardia Infections: A Comprehensive Review

Hey everyone! Today, we’re diving deep into the fascinating world of Nocardia infections . You know, those sneaky bacteria that can pop up when you least expect them. We’ll cover everything from what Nocardia is, to how it affects us, and most importantly, how we can fight it. So, buckle up, guys, because this is going to be an informative ride!

Understanding Nocardia: The Basics

Let’s start with the basics, shall we? Nocardia are a group of Gram-positive, aerobic bacteria that are commonly found in soil, water, and dust. They’re like the invisible residents of our environment, just chilling out until conditions are just right for them to cause trouble. What’s super interesting about Nocardia is their variability; they can appear as rods, cocci, or even branching filaments, which can sometimes make them a bit tricky to identify under a microscope. These little guys are everywhere, and while most of the time they don’t bother us, certain circumstances can lead to infection. Think of them as opportunistic invaders. The most common species that cause human disease are Nocardia asteroides , Nocardia brasiliensis , and Nocardia caviae . Understanding the nature of Nocardia infection is the first step in tackling it. These bacteria have a waxy cell wall, thanks to the presence of mycolic acids, which contributes to their resistance to certain antibiotics and disinfectants. This characteristic also makes them appear partially acid-fast, meaning they retain a red stain after decolorization with acid-alcohol, a property they share with Mycobacterium species, although Nocardia are not true mycobacteria. The environmental ubiquity of Nocardia means exposure is common, but only a fraction of exposures lead to clinical illness. This suggests that host immune status plays a crucial role in determining susceptibility. Factors like a weakened immune system, whether due to medical conditions like HIV/AIDS, cancer, or treatments like chemotherapy or corticosteroid use, significantly increase the risk of developing a Nocardia infection. Even seemingly minor skin abrasions can serve as an entry point for these bacteria, especially in humid environments where Nocardia thrive. So, while they’re naturally occurring, their ability to cause disease is often linked to a compromised defense system, making them a pertinent topic for healthcare professionals and anyone interested in infectious diseases. We’ll delve deeper into the immune response and risk factors in later sections, but for now, grasp this: Nocardia are environmental bacteria with the potential to cause significant illness, especially in vulnerable individuals. Their unique cellular structure also plays a role in their pathogenesis and treatment, which we’ll explore further.

How Nocardia Infections Spread and Manifest

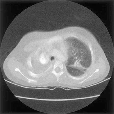
So, how exactly do these Nocardia infections make their way into our bodies and what happens next? The primary route of infection is through inhalation of contaminated dust or soil particles. This is why people who work outdoors, like farmers or gardeners, are at a higher risk. Another common way is through direct inoculation into the skin, perhaps from a minor cut or scratch that comes into contact with contaminated soil or water. Less commonly, it can spread through ingestion, though this is rare. Once Nocardia enters the body, it can travel through the bloodstream and wreak havoc in various organs. The most common site of infection is the lungs, leading to a condition called pulmonary nocardiosis. Symptoms here can mimic other respiratory illnesses like pneumonia, with cough, fever, shortness of breath, and chest pain being common complaints. However, Nocardia can be a real troublemaker and spread beyond the lungs. It has a notorious tendency to disseminate to other parts of the body, a phenomenon known as extrapulmonary nocardiosis. The brain is a frequent target, leading to brain abscesses, which can cause headaches, neurological deficits, and even seizures. The skin and soft tissues are also common sites, resulting in localized infections like abscesses, ulcers, or cellulitis. In immunocompromised individuals, Nocardia can even spread to the eyes, bones, joints, or basically anywhere! The severity of Nocardia infection really depends on the individual’s immune status and the extent of the spread. For someone with a robust immune system, the infection might be mild and self-limiting, or even asymptomatic. But for those with compromised immunity, it can be a life-threatening condition. It’s this potential for widespread dissemination and the often non-specific symptoms that can make diagnosing Nocardia challenging. Clinicians often have to consider Nocardia in their differential diagnosis, especially in patients with risk factors and symptoms that don’t respond well to standard treatments for more common infections. The ability of Nocardia to form granulomas and chronic lesions also means that infections can persist for long periods if not adequately treated, leading to long-term complications. The diverse clinical presentations underscore the importance of a high index of suspicion and appropriate diagnostic workup, including cultures from affected sites, to confirm the presence of Nocardia and guide effective therapy. It’s not just a simple cough; it can be a complex systemic illness.

Diagnosing Nocardia Infections: The Detective Work

Alright guys, let’s talk about how doctors play detective to figure out if someone has a Nocardia infection . Because, as we’ve seen, the symptoms can be a bit vague and mimic other diseases, diagnosis isn’t always straightforward. The first and most crucial step is suspicion. If a patient presents with symptoms suggestive of infection, especially if they have risk factors like a weakened immune system or exposure to soil, doctors will start thinking about Nocardia. The gold standard for diagnosis is microbiological culture . Samples are taken from the suspected site of infection – this could be sputum from the lungs, pus from a skin abscess, cerebrospinal fluid from the brain, or even tissue biopsies. These samples are then sent to the laboratory where microbiologists try to grow the Nocardia bacteria. This isn’t always easy because Nocardia can be slow-growing, and they require specific culture media and incubation conditions. Sometimes, special techniques are needed to help the bacteria grow, like using modified techniques to isolate them from other bacteria present in the sample. Once Nocardia is successfully cultured, it can be identified using various laboratory methods, including Gram staining, acid-fast staining (remember those waxy walls?), and biochemical tests. Molecular methods, like PCR (polymerase chain reaction), are also increasingly being used for faster and more accurate identification. Imaging studies play a vital role too. Chest X-rays or CT scans can help visualize lung involvement, showing infiltrates, abscesses, or nodules. MRI or CT scans of the brain are essential for detecting brain abscesses. These imaging findings, combined with clinical presentation and laboratory results, help paint a clearer picture. It’s a multi-pronged approach, really. Sometimes, the diagnosis can be tricky, and it might take a few tries to get the right sample or the right culture conditions. Histopathology, the examination of tissue under a microscope, can also provide clues, showing characteristic inflammatory patterns and sometimes even the presence of the bacteria. Susceptibility testing is also a critical part of the diagnostic process. Once Nocardia is identified, the lab will test which antibiotics are most effective against it. This is super important because Nocardia can be resistant to certain drugs, and choosing the right antibiotic early on can make a huge difference in treatment success and preventing complications. So, it’s a combination of clinical suspicion, careful sample collection, specialized laboratory techniques, advanced imaging, and antibiotic susceptibility testing that allows us to finally unmask these elusive Nocardia infections. It’s a real team effort between the doctors, nurses, and lab scientists to get to the bottom of it.

Treatment Strategies for Nocardia Infections

Now, let’s talk about the good stuff: how we actually treat Nocardia infections . Because these infections can be serious, prompt and appropriate treatment is key. The cornerstone of treatment is antibiotics . The specific antibiotic choice and duration of treatment depend on several factors, including the site and severity of the infection, the patient’s immune status, and the results of antibiotic susceptibility testing. Generally, sulfonamides , particularly trimethoprim-sulfamethoxazole (TMP-SMX), are the first-line treatment for most Nocardia infections. This drug has been a workhorse for Nocardia for decades, and it’s often very effective. However, resistance to TMP-SMX can occur, which is why susceptibility testing is so vital. If a patient can’t tolerate TMP-SMX or if the Nocardia is resistant to it, other antibiotics might be used. These can include other sulfonamides, cephalosporins, carbapenems, or macrolides, often in combination. For severe or disseminated infections, especially those involving the brain, a combination of antibiotics might be used initially, and treatment often needs to be prolonged, sometimes for many months, even up to a year or more. Intravenous (IV) antibiotics are typically used at the beginning of treatment for severe cases, with a gradual switch to oral antibiotics as the patient improves. Surgical intervention may also be necessary in some situations. For instance, if there’s a large abscess, particularly in the brain or elsewhere in the body, surgical drainage might be required to remove the pus and infected tissue. This can significantly aid the effectiveness of antibiotic therapy. In some cases, particularly with extensive skin or soft tissue infections, debridement (surgical removal of dead or infected tissue) might be performed. Supportive care is also an important part of the Nocardia infection management. This includes managing symptoms like fever and pain, ensuring adequate nutrition, and addressing any underlying conditions that might be contributing to the infection, like optimizing immunosuppression therapy if possible. For patients with central nervous system involvement, close monitoring for increased intracranial pressure and neurological status is crucial. The length of treatment is often lengthy, requiring significant patient adherence and follow-up to ensure the infection is fully cleared and to prevent relapse. It’s a marathon, not a sprint, when it comes to treating Nocardia. Regular follow-up appointments and monitoring, often including repeat imaging or cultures, are essential to assess treatment response and detect any signs of recurrence. So, while Nocardia can be a tough opponent, with the right combination of antibiotics, potential surgery, and dedicated care, these infections can usually be successfully managed, allowing patients to recover and get back to their lives.

Prevention and Prognosis

Preventing Nocardia infections is definitely a key area we need to touch upon, and it ties closely with understanding who is most at risk. The best strategy is really about minimizing exposure and strengthening the body’s defenses. For individuals with compromised immune systems – think those undergoing chemotherapy, organ transplant recipients, or people with chronic granulomatous disease – taking extra precautions is paramount. This means being mindful of activities that increase exposure to soil and dust. For example, if you’re gardening, wearing gloves and masks can make a big difference. It’s also advisable to avoid activities that might lead to skin trauma in contaminated environments. For the general population, the risk is quite low, but for those in high-risk groups, it’s about being proactive. Healthcare providers play a crucial role here by identifying patients at risk and educating them about preventive measures. Prognosis for Nocardia infections varies greatly depending on several factors. If diagnosed and treated early, especially for localized infections in immunocompetent individuals, the prognosis is generally excellent. Many skin infections, for instance, can be cleared with a course of antibiotics. However, for patients with disseminated disease or those who are severely immunocompromised, the prognosis can be more guarded. Brain abscesses, while treatable, can lead to long-term neurological deficits if not managed effectively. Mortality rates are higher in patients with disseminated nocardiosis, particularly those with underlying conditions like HIV/AIDS or those who are receiving immunosuppressive therapy. The key to a better prognosis lies in early recognition, accurate diagnosis, and prompt initiation of appropriate, often prolonged, antimicrobial therapy. Regular follow-up and monitoring are essential to ensure treatment success and to detect any potential relapses. Sometimes, even with optimal treatment, some patients may experience long-term consequences or have recurrent infections, highlighting the persistent challenge these bacteria can pose. So, while we have effective treatments, Nocardia infection still demands respect and vigilance, especially for those most vulnerable. It’s a reminder that our immune system is our first line of defense, and sometimes, we need a little help from modern medicine to overcome these resilient microbes. Staying informed and taking preventive steps, where possible, is always the best approach. It’s about empowering ourselves and our healthcare providers with knowledge to navigate these challenges effectively.

Conclusion

To wrap things up, Nocardia infections are a diverse group of bacterial illnesses that, while not extremely common in the general population, can pose significant threats, particularly to individuals with weakened immune systems. We’ve journeyed through understanding what Nocardia are, how they spread, the challenges in diagnosing them, the strategies we employ to treat them, and how we can approach prevention and prognosis. The key takeaway here, guys, is that early recognition and appropriate treatment are absolutely critical. Because Nocardia can mimic so many other conditions and has the potential to spread throughout the body, a high index of suspicion is warranted in at-risk patients. Microbiological diagnosis through culture remains the cornerstone, but it requires specialized laboratory techniques. Treatment typically involves long courses of antibiotics, often starting with TMP-SMX, and sometimes surgical intervention is necessary for complications like abscesses. While the prognosis can be excellent for localized infections in healthy individuals, it becomes more challenging with disseminated disease or in immunocompromised hosts. Remember, Nocardia are environmental bacteria, and while we can’t eliminate them from the environment, we can take steps to minimize exposure and bolster our defenses. Staying informed about these infections is crucial for both healthcare professionals and the public. Keep this information in mind, and let’s stay healthy and informed! Thanks for joining me on this deep dive into Nocardia.