Nocardia: Understanding This Bacterial Genus

F.Radio 70 views
Nocardia: Understanding This Bacterial Genus

Nocardia: Understanding This Bacterial Genus

Hey guys, today we’re diving deep into the fascinating world of Nocardia . You might not hear about it every day, but understanding Nocardia is super important, especially in the medical and environmental fields. This genus of bacteria might be small, but it can pack a punch, causing a range of infections in both humans and animals. So, grab your coffee, and let’s get into the nitty-gritty of what makes these microbes tick, where they hang out, and why they matter to us. We’ll cover their characteristics, the diseases they cause, how we diagnose and treat them, and even touch upon their role in the environment. It’s going to be a comprehensive look, so buckle up!

What Exactly is Nocardia?

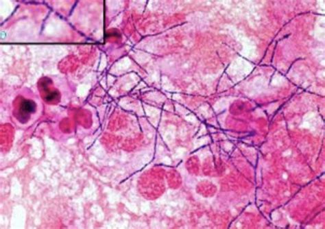
Alright, let’s start with the basics: What is Nocardia? Simply put, Nocardia are a group of bacteria that belong to the phylum Actinobacteria. They’re Gram-positive, which is a key characteristic used in identifying bacteria under a microscope. But here’s where they get a bit tricky: they are also acid-fast, meaning they resist decolorization by acids during staining procedures. This acid-fastness is shared with other bacteria like Mycobacterium , which can sometimes make diagnosis a little more complex. Nocardia are commonly found in the environment, particularly in soil, water, and even on surfaces like dust. They are aerobic, meaning they need oxygen to survive and grow. Morphologically, they’re often described as filamentous or branching, resembling fungi to some extent, which, again, adds a layer of complexity in identification. They can exist as single cells, pairs, or short chains, and under certain conditions, they can form rudimentary branching filaments. This unique morphology is a significant clue for microbiologists when they’re trying to pinpoint an infection. The ability of Nocardia to survive in various environmental niches is attributed to its resilient cell wall and metabolic adaptability. They aren’t picky eaters, which allows them to thrive in diverse conditions. This widespread presence in nature means that exposure is quite common, although actual infection is less so and usually occurs in individuals with compromised immune systems. Understanding these fundamental characteristics is crucial because they dictate how Nocardia behaves, how it spreads, and how we can combat it when it causes disease. It’s these seemingly small details – their staining properties, their shape, their need for oxygen – that are the building blocks for understanding the bigger picture of Nocardia infections.

Where Does Nocardia Come From?

So, where does Nocardia come from? As I mentioned, these resilient little guys are pretty much everywhere in the natural world. The most common places you’ll find Nocardia are in soil, fresh and saltwater, and even in the air as dust particles. Think about it: every time you dig in the garden, swim in a lake, or walk through a dusty area, you’re potentially coming into contact with Nocardia . They’re incredibly adaptable and can survive in a wide range of temperatures and moisture levels. This ubiquitous presence in the environment is why infections often occur through environmental exposure . The most typical route of infection for humans is through inhalation of airborne droplets containing the bacteria, which can lead to pulmonary nocardiosis. Another common way to get infected is through traumatic inoculation , where the bacteria enter the body through a break in the skin, like a cut or a scrape, especially if it comes into contact with contaminated soil or water. This can lead to cutaneous (skin) or subcutaneous (under the skin) nocardiosis. In some cases, particularly in immunocompromised individuals, Nocardia can spread from the initial site of infection to other parts of the body, including the brain, causing disseminated disease. It’s important to remember that Nocardia isn’t typically found as a normal inhabitant of the human body, unlike some other bacteria. This means that if you have a Nocardia infection, it’s almost certainly acquired from an external environmental source. The prevalence of specific Nocardia species can vary depending on the geographic location and the specific environment. For instance, certain species might be more common in tropical regions, while others are found more frequently in temperate climates. Their ability to form spores also helps them survive harsh environmental conditions, making them persistent colonizers of soil and other natural habitats. So, the next time you’re out enjoying nature, just remember that Nocardia is likely sharing the space with you, a constant reminder of the complex microbial world we live in and the importance of being aware of potential environmental exposures, especially if your immune system isn’t at its peak. It’s this environmental ubiquity that makes Nocardia a constant, albeit often unnoticed, presence in our world.

The Diseases Nocardia Causes

Now for the part that might make you a little uneasy: the diseases Nocardia causes . While Nocardia are widespread, most healthy people don’t get sick from them. Our immune systems are usually pretty good at handling these bacteria when we encounter them. However, for folks with weakened immune systems – think people with HIV/AIDS, those undergoing chemotherapy, organ transplant recipients on immunosuppressant drugs, or individuals with chronic lung diseases like COPD – Nocardia can become a serious problem. The infections caused by Nocardia are collectively known as nocardiosis . These infections can manifest in several ways, primarily affecting the lungs, skin, and sometimes the brain and other organs. Pulmonary nocardiosis is the most common form, resulting from inhaling the bacteria. Symptoms can mimic other respiratory infections like pneumonia, including cough, fever, shortness of breath, chest pain, and fatigue. In some cases, it can lead to lung abscesses, which are pockets of pus in the lungs that can be quite serious. Cutaneous nocardiosis occurs when the bacteria enter the skin, often through a wound. This can result in localized infections like cellulitis, abscesses, or ulcers on the skin. Sometimes, the infection can spread deeper into the tissues, causing lymphocutaneous disease, where the infection travels along the lymphatic system, creating nodules or ulcers along the path. The most dangerous form is disseminated nocardiosis , where the infection spreads from the initial site (often the lungs) to other parts of the body. The brain is a common site for dissemination, leading to brain abscesses, meningitis (inflammation of the membranes surrounding the brain), or encephalitis (inflammation of the brain itself). Symptoms of brain involvement can include headache, confusion, seizures, and neurological deficits. Other organs like the eyes, liver, kidneys, and bones can also be affected in disseminated cases. The severity of nocardiosis depends heavily on the patient’s immune status and the extent of the infection. Early diagnosis and treatment are absolutely critical to prevent severe complications and improve outcomes. It’s a stark reminder that while often harmless, these environmental microbes can pose a significant threat to vulnerable populations, highlighting the importance of immune health and preventative measures when possible. The diverse ways Nocardia can impact the body underscore the need for a broad understanding of its pathogenic potential.

Diagnosing Nocardia Infections

So, how do doctors figure out if you’ve got a Nocardia infection? Diagnosing Nocardia infections isn’t always straightforward, mostly because the symptoms can look a lot like other common illnesses, like regular bacterial pneumonia or fungal infections. The key steps usually involve a combination of clinical suspicion, laboratory tests, and imaging. First off, a doctor will consider your medical history, especially if you have risk factors like a weakened immune system or a history of exposure to soil or contaminated water. If they suspect nocardiosis, they’ll likely order imaging tests like X-rays or CT scans of your chest or brain, depending on where the infection is suspected. These images can reveal characteristic signs like lung infiltrates, abscesses, or lesions in the brain. The definitive diagnosis, however, comes from laboratory identification of the bacteria . This usually involves collecting a sample from the suspected site of infection. For lung infections, this might be sputum (phlegm) or fluid obtained through a bronchoscopy. For skin infections, it would be pus or tissue from an abscess or wound. If a brain abscess is suspected, a sample might be obtained during surgery or a biopsy. This sample is then sent to a microbiology lab. Here, the technicians will perform various tests. Gram staining is often one of the first steps, and they’ll look for the characteristic Gram-positive, branching filaments of Nocardia . Acid-fast staining is also crucial, as it helps differentiate Nocardia from other Gram-positive bacteria and can be positive in many Nocardia species. Cultures are then performed. This means growing the bacteria in the lab on special media. Nocardia can be slow growers, so it might take several days to a week or even longer to see colonies appear. This waiting period can be a challenge, as treatment often needs to start before the final identification is confirmed. Once grown, the bacteria can be further identified using biochemical tests or, more commonly nowadays, molecular methods like DNA sequencing. These advanced techniques provide a more rapid and accurate identification. In cases of suspected disseminated disease, blood cultures might also be drawn. It’s this meticulous process of sample collection, staining, culturing, and identification that allows healthcare professionals to confirm the presence of Nocardia and guide appropriate treatment. The challenges in diagnosis highlight the importance of experienced lab personnel and good communication between clinicians and microbiologists. Getting the right diagnosis quickly is paramount for effective management and to prevent the infection from causing more severe damage.

Treatment and Prevention

Alright, let’s talk about treatment and prevention of nocardiosis. When it comes to treatment, the good news is that Nocardia infections are generally treatable with antibiotics . The challenge is that Nocardia can be quite resistant to some common antibiotics, and the treatment often needs to be long-term, sometimes lasting for months, or even up to a year or more for severe or disseminated infections. The drug of choice for most Nocardia infections is typically sulfonamides , like trimethoprim-sulfamethoxazole (TMP-SMX). This is often used in combination with other antibiotics, depending on the specific species of Nocardia identified and the severity and location of the infection. For example, lung infections might be treated with TMP-SMX, while brain abscesses might require a combination of antibiotics and sometimes surgical drainage to remove the pus. Other antibiotics that might be used include minocycline, doxycycline, amikacin, ceftriaxone, and linezolid, often in combination. The choice of antibiotic also depends on susceptibility testing done in the lab, which shows which drugs the specific Nocardia strain is sensitive to. It’s crucial for patients to complete the entire course of antibiotics as prescribed, even if they start feeling better, to ensure the infection is completely eradicated and to prevent relapse. For prevention, since Nocardia are environmental organisms, completely avoiding exposure is impossible. However, certain precautions can reduce the risk of infection, especially for individuals who are at higher risk due to a compromised immune system. These include protecting open wounds from soil and contaminated water, especially after surgery or injury. For people with chronic lung diseases or weakened immunity, it might be advisable to avoid activities that could lead to significant exposure, like gardening or working with soil, especially if they have open cuts or sores. In some cases, particularly for transplant recipients or those with severe immunodeficiency, prophylactic (preventative) antibiotic therapy might be considered, though this is usually reserved for specific high-risk situations. Public health awareness about the potential risks of environmental exposure, especially in relation to underlying health conditions, is also a form of prevention. Ultimately, managing Nocardia infections requires prompt diagnosis, appropriate antibiotic therapy, and careful monitoring, while prevention focuses on minimizing exposure, particularly for vulnerable individuals. It’s a combination of medical intervention and mindful awareness of our environment that keeps us safe from these tenacious bacteria.

Conclusion

So there you have it, guys! We’ve taken a pretty thorough tour of the Nocardia genus. From their humble beginnings in soil and water to the complex infections they can cause, particularly in those with weakened immune systems, Nocardia certainly are remarkable microbes. We’ve seen how their unique characteristics, like being Gram-positive and acid-fast filaments, play a role in their identification. We discussed how they enter our bodies, often through inhalation or skin wounds, and the varied diseases they can trigger, from lung infections to brain abscesses. The diagnostic process, relying on imaging, staining, and culture, can be challenging but is vital for effective treatment. And crucially, we covered the treatment strategies, predominantly long-term antibiotic therapy with sulfonamides being a cornerstone, and the preventative measures, which focus on minimizing exposure and protecting vulnerable individuals. While Nocardia might not be a household name, understanding this bacterial genus is essential for healthcare professionals and anyone interested in infectious diseases. It highlights the importance of our immune system’s role in keeping us healthy and the constant interplay between humans and the microbial world around us. Keep learning, stay curious, and remember to take care of yourselves, especially if your immune system needs a little extra support. Cheers!